기타 안질환
노인성 안검내반증이란 눈꺼풀의 가장자리가 안쪽으로 말려들어가 속눈썹이 각막과 접촉함으로써 지속적으로 자극을 주는 질환입니다.

눈썹이 자주 찔려 각막염이 자주 발생하게 됩니다.

이물감때문에 눈물을 많이 흘르게 됩니다.

눈이 불편해 자주 비비게 됩니다.

환자분의 눈꺼풀 처짐과 말림, 눈썹의 위치, 안검 하수 및 안면 좌우 비대칭의 정도를 고려하여 디자인을 하고, 수술 범위를 정합니다.

눈꺼풀이 불룩 튀어나와 보이게 만드는 지방을 제거합니다.

노인 환자에게 있어서 미용적인 측면만 고려하였을 경우 여러 합병증의 우려가 있으므로, 자연스럽고 눈꺼풀의 기능에 방해를 주지 않는 한도에서 교정합니다.

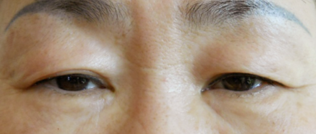
수술 전

수술 후
서울안과는 진료를 받으신 모든 분들이 평생 눈 건강을 지킬 수 있도록 도와드립니다.
환자분의 증상에 따라 세심하게 상담하여 나이, 직업, 생활 습관 등을 고려하여 맞춤 치료합니다.
늘 환자분의 입장에서 생각합니다. 반드시 필요한 검사와 치료만을 시행합니다.
직원이 수술 전후 전화를 드리며, 수술에 대해 자세히 안내해드립니다.
모든 환자의 진료기록은 전자 차트로 관리되며, 검진일을 잊지 않도록 문자를 발송해드립니다.