망막ㆍ녹내장
녹내장이란 안압 상승과 같은 다양한 위험 요인으로
시신경이 눌리거나 혈액 공급이 문제가 생겨 시신경이 손상되는 질환입니다.
* 시신경은 한 번 손상되면 재생이 되지 않기 때문에, 녹내장의 조기 발견은 매우 중요합니다.

가족 중에 녹내장 환자가 있었거나 선천적인 대사장애가 원인이 되어 발생하게 됩니다.

노화로 인한 안압 상승, 안혈류 장애, 외상 등이 원인이 되기도 합니다.

백내장, 당뇨병, 고혈압, 갑상선 질환 등의 합병증으로 녹내장이 발병합니다.





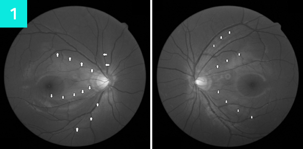
녹내장이 진행될수록 시신경 유두테의 손실이 증가하여 시야가 점점 줄어듭니다.




환자분 눈 상태에 적합한 치료 방법을 제시해드립니다.
기존의 안저 카메라로는 망막의 45도 범위 정도까지만 검사할 수 있었지만, 옵토스는 전체 망막의 200도 범위까지 촬영하여 더 넓은 반경의 검사가 가능합니다.

각막에 접촉하지 않고 안압을 간단히 측정하여, 안압 이상 여부를 확인합니다.

각막 염색 후 각막에 접촉하여 최소한의 오차로 안압을 측정합니다.

전방우각의 이상 유무를 확인합니다.

망막(황반) 및 시신경을 촬영하여 이상유무를 확인합니다.

시야 변화를 측정하여, 녹내장성 인지 다른 원인 때문인지 확인합니다.

정밀한 단층 촬영이 가능한 안과 CT 검사를 통해 녹내장의 초기 징후를 발견할 수 있습니다.

망막 및 시신경 기능의 이상 여부를 확인합니다. 망막의 광범위한 손상 유무, 선천성 망막 질환, 시신경의 손상, 약시 등을 판단할 수 있습니다.

비접촉 레이저 안구측정기를 이용하여 각막 두께를 측정합니다. 정확한 안압 측정을 위해서는 각막 두께를 확인해야 합니다.
서울안과는 진료를 받으신 모든 분들이 평생 눈 건강을 지킬 수 있도록 도와드립니다.
환자분의 증상에 따라 세심하게 상담하여 나이, 직업, 생활 습관 등을 고려하여 맞춤 치료합니다.
늘 환자분의 입장에서 생각합니다. 반드시 필요한 검사와 치료만을 시행합니다.
직원이 수술 전후 전화를 드리며, 수술에 대해 자세히 안내해드립니다.
모든 환자의 진료기록은 전자 차트로 관리되며, 검진일을 잊지 않도록 문자를 발송해드립니다.