망막ㆍ녹내장
망막질환이란 노화, 유전적인 요인, 염증 등에 의해 망막의 기능이 떨어지면서 시력이 감소되고, 심할 경우 시력을 완전히 잃기도 하는 질환입니다.

수망막 질환은 과거에는 주로 노년층에서 발생하였으나, 식습관의 변화와 눈을 혹사시키는 환경으로 인해 이제는 중·장년층에서도 호발하고 있습니다. 30대부터는 정기적인 안과 검사가 반드시 필요합니다.

주로 60대 이상에 발병하며 노화가 큰 위험인자입니다.

흡연자는 비흡연자에 비해 위험도가 2배 이상입니다.

정상 혈압을 유지하는 사람보다 위험도가 45%이상 높습니다.

발병 후 반대편 눈에도 같은 증상이 발생하는 경우가 많습니다.
기존의 안저 카메라로는 망막의 45도 범위 정도까지만 검사할 수 있었지만, 옵토스는 전체 망막의 200도 범위까지 촬영하여 더 넓은 반경의 검사가 가능합니다.

망막(황반) 및 시신경을 촬영하여 이상유무를 확인합니다.

유리체 및 망막주변부의 이상유무를 확인합니다. 주로 비문증 및 망막의 염증 유무를 확인할 때 시행합니다.

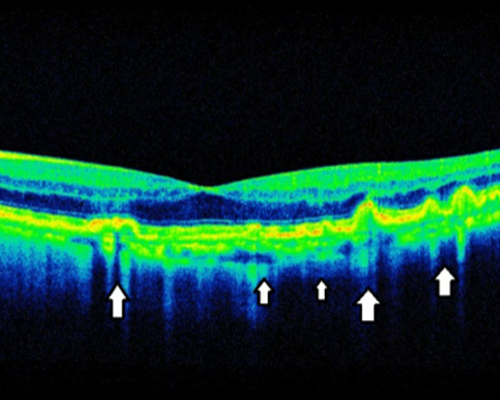
망막에서 가장 중요한 황반부위 및 시신경을 정밀 단층 촬영하여 미세한 초기 변화도 확인할 수 있습니다.

망막 및 시신경 기능의 이상 여부를 확인합니다. 망막의 광범위한 손상 유무, 선천성 망막 질환, 시신경의 손상, 약시 등을 판단할 수 있습니다.
대학병원급 첨단 장비로 눈의 미세한 변화를 조기에 발견하여, 질환을 예방합니다.
황반부는 망막의 중심부위를 말하며, 시신경 세포의 대부분이 몰려있고 물체의 상이 맺히는 곳이어서 시력에 대단히 중요한 역할을 합니다. 이 부위에 다양한 원인에 의하여 변성이 일어나는 질환을 황반 변성이라고 합니다.
황반부에 생긴 신생혈관
광범위하게 보이는 노란색 반점의 드루젠
황반부에 쌓여있는 드루젠으로 인해 울퉁불퉁해진 망막색소 상피세포층
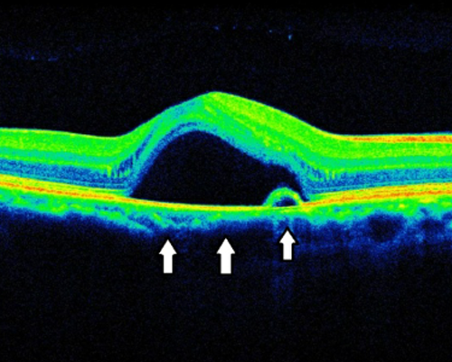
황반주름이란 황반 위에 딱딱한 섬유성 막이 자라나는 질환으로 물체가 휘어 보이거나 서서히 시력이 떨어지는 질환입니다.
황반부에 생긴 신생혈관
막이 황반부를 위로 잡아당겨 전반적인 두께가 증가하고 구조가 뒤틀림
적절한 시기에 수술을 하면 예후가 좋으나, 증상이 악화된 후에는 회복이 어렵습니다. 따라서, 수술 시기를 놓치지 않도록 주의해야 합니다.
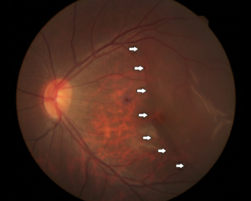
신장, 말초신경, 망막과 전신의 크고 작은 혈관들을 망가트려서 만성 합병증을 일으킵니다. 그 중 당뇨망막병증은 대표적인 당뇨 합병증의 하나로 망막의 모세혈관이 폐쇄되어 조직에 저산소증을 일으키는 미세혈관병증입니다.


망막혈관에서 새어 나온 삼출물과 점상 출혈
혈당관리를 철저히 해도 당뇨병 유발 후 20년이 지나면 대부분의 환자에게서 당뇨망막병증이 나타납니다. 젊은 나이에 당뇨병 진단을 받았다면 당뇨망막병증이 더 빨리 진행될 수 있습니다.
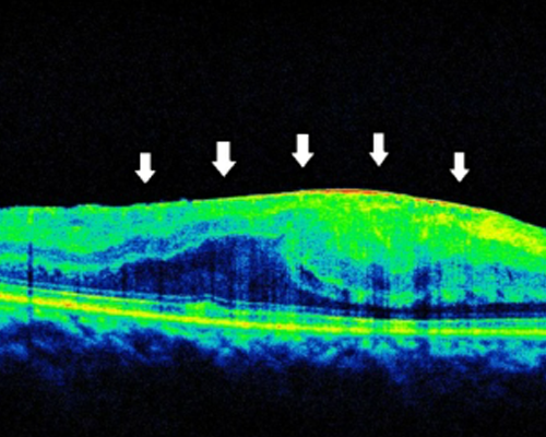
눈에 영양을 공급하는 모세혈관이 미세하게 파열되어 황반을 받쳐주는 세포 조직이 약해지고, 황반 부분이 이탈되어 나타나는 시력저하 질환입니다



황반부에 생긴 망막하액과 망막색소상피박리
자주 재발될 수 있고, 만성화 되는 경우 황반 변성으로 진행할 수 있으므로 예방이 매우 중요합니다.
비문증이란 투명한 유리체가 혼탁해지고, 망막에 그림자가 비춰 마치 눈앞에 날파리가 떠다니는 것처럼 느끼게 되는 질환입니다.
비문증 증상
눈 속에 부유물질이 보이는 것으로 특별한 치료가 필요하지는 않습니다. 하지만 떠나는 물체의 갯수가 갑자기 많아지거나 번쩍이는 번갯불이 느껴지는 경우 망막박리, 유리체 출혈 등의 초기증상일 수 있으므로 반드시 진단받아야합니다.
망막이 들뜨게 되어 망막에 영양 공급이 되지 않는 질환입니다. 시각세포의 기능이 점차 떨어지게 되고, 이런 상태가 지속되면 영구적인 망막위축이 발생하여 실명하거나 안구가 위축됩니다.


저희 서울안과는 망막박리센터를 갖추고 있는 순천향대학교 서울병원과 긴밀한 협력체제를 유지하고 있습니다.
망막의 혈관이 여러 가지 원인에 의해 막히게 되어 시력감소를 초래하는 질환입니다. 망막중심의 동/정맥이 폐쇄된 경우에는 시력이 현저히 감소하며, 망막분지 동/정맥이 폐쇄되면 폐쇄된 위치에 따라 시력 저하의 정도와 속도가 달라집니다.


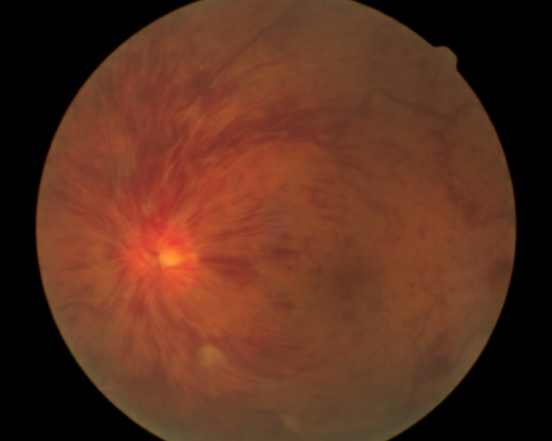
중심망막정맥폐쇄로 생긴 광범위한 망막 출혈과 황반부종
내과적인 이상 유무를 확인하여 이에 대한 치료가 선행되어야 합니다. 혈관 폐쇄의 범위와 정도에 따라 약물 치료, 광응고술, 유리체강내 항체주사 또는 스테로이드 주사 치료 등을 시행합니다.
포도막은 망막과 공막의 중간층에 해당하는 조직입니다. 크게 홍채, 모양체, 맥락막으로 구성되어 있으며 미세혈관이 많은 조직입니다.
포도막에 염증이 생기면 주변의 망막, 공막은 물론 수정체, 각막 등 눈의 중요한 부분에 손상을 입혀 시력저하, 실명까지도 초래할 수 있습니다.
감염성 포도막염의 경우에는 원인을 찾아내고, 그 치료를 위하여 해당 항생제 또는 항진균제 또는 항바이러스제를 사용합니다. 비감염성 포도막염인 경우, 전안부 염증을 감소시키고, 증상을 줄이기 위해 약물치료를 시행합니다.
서울안과는 진료를 받으신 모든 분들이 평생 눈 건강을 지킬 수 있도록 도와드립니다.
환자분의 증상에 따라 세심하게 상담하여 나이, 직업, 생활 습관 등을 고려하여 맞춤 치료합니다.
늘 환자분의 입장에서 생각합니다. 반드시 필요한 검사와 치료만을 시행합니다.
직원이 수술 전후 전화를 드리며, 수술에 대해 자세히 안내해드립니다.
모든 환자의 진료기록은 전자 차트로 관리되며, 검진일을 잊지 않도록 문자를 발송해드립니다.